Ecografía: cierre de pequeños vasos sanguíneos
Uno de los tratamientos más comunes realizados en las clínicas de flebología y medicina estética es el cierre de pequeños vasos sanguíneos en las extremidades inferiores, las llamadas telangiectasias y vasos reticulares. Actualmente, existen varios métodos que permiten cerrar los vasos dilatados y obtener los efectos deseados, tanto terapéuticos como estéticos. Por desgracia, a pesar de aplicar diversos métodos e instrumentos, los efectos de los tratamientos no suelen ser satisfactorios. El factor que contribuye en gran medida a disminuir la eficacia de tales procedimientos es la complicada anatomía del sistema venoso y la falta de un método para especificar con precisión el curso del vaso, su diámetro, localización en la piel, etc. La ultrasonografía de alta frecuencia es un método que permite determinar con exactitud el curso de los vasos, así como medir sus parámetros básicos, como el diámetro, la profundidad en la piel y la presencia o ausencia de perfusión. Gracias a la imagen por ultrasonidos con el uso de transductores de alta frecuencia, se puede seleccionar un método de tratamiento y unos parámetros de procedimiento adecuados, lo que conlleva mejorar la eficacia del procedimiento en sí. La ecografía también puede utilizarse para monitorizar los procedimientos realizados.
Los problemas vasculares en las extremidades inferiores se producen con mucha frecuencia. Se estima que los problemas con el sistema venoso de las extremidades inferiores afectan aproximadamente al 40-50% de la población(1). El aspecto antiestético de las piernas con múltiples telangiectasias y vasos reticulares dilatados no solo constituye un problema estético, sino que también puede dar lugar a afecciones graves de salud. Los procedimientos consistentes en el cierre de pequeños vasos, comúnmente conocidos como «arañas vasculares», pertenecen a los tratamientos más populares realizados en las clínicas de flebología y medicina estética. La mayoría de los pacientes, principalmente mujeres, no aceptan los cambios vasculares en desarrollo que aparecen en las extremidades inferiores y, por tanto, el principal motivo del tratamiento es la mejora de su aspecto(2).
Los cambios vasculares que se producen en las piernas están asociados a anomalías en el sistema venoso superficial epifascial. La etiología de estos trastornos es compleja. Se indica que las causas más comunes de los trastornos venosos abarcan factores genéticos y hormonales, así como la obesidad, el estilo de vida y el embarazo. Estos factores provocan la insuficiencia de las válvulas venosas y de las perforantes, lo que hace que la sangre se acumule en los vasos, además de causar hipertensión venosa y dar lugar a la dilatación de los vasos. Distinguimos dos venas principales en el sistema venoso superficial: las venas safena mayor y menor, así como múltiples venas perforantes y pequeños vasos sanguíneos(3). Para sistematizar los vasos que componen el sistema venoso superficial, parece apropiado utilizar una clasificación que distingue cinco tipos de vasos(4). El tipo I comprende vasos rojos con un diámetro de 1 mm, es decir, telangiectasias. El tipo IA incluye vasos rojos muy pequeños cuyo diámetro es inferior a 0,2 mm. Estos vasos tienen un carácter «secundario» (aparecen en pacientes tras los tratamientos) y se denominan matting. El tipo II engloba vasos púrpuras con un diámetro de 1-2 mm que sobresalen de la superficie de la piel. El tipo III incluye vasos reticulares de coloración verde y azul y un diámetro de 2-4 mm. El tipo IV comprende venas varicosas de 3 a 8 mm de diámetro, no relacionadas con la vena safena magna. Por último, el tipo V incluye las varices de la vena safena magna y parva con color azul o azul-verdoso y un diámetro superior a 8 mm.
Los vasos sanguíneos dilatados en las piernas pueden eliminarse mediante escleroterapia o diversos tratamientos con láser. Lamentablemente, la eficacia de tales procedimientos no siempre es satisfactoria(2,5), lo que es consecuencia de una estructura compleja del sistema venoso, de las limitaciones de los métodos utilizados para cerrar los vasos venosos y de la falta de un método que permita obtener imágenes precisas del curso de los vasos que se van a tratar. En particular, carecemos de herramientas que permitan obtener imágenes del curso de los pequeños vasos sanguíneos. En tal situación, es deseable buscar un método que permita obtener imágenes precisas del sistema venoso y, de ese modo, contribuir a la eficacia de los procedimientos realizados. El ultrasonido de alta frecuencia (HFU) tiene la oportunidad de convertirse en una herramienta útil en la obtención de imágenes de pequeños vasos sanguíneos.
Para los fines de este trabajo, las imágenes ecográficas se han obtenido mediante equipos de alta frecuencia, es decir, Episcan con un transductor mecánico de 50 MHz (Longport International, Gran Bretaña, EE.UU.), DermaMed con un transductor mecánico de 48 MHz (Dramiński, Polonia) y Sonix con un transductor electrónico de matriz lineal con la frecuencia de 40 MHz (Ultrasonix, Canadá).
Imagen del sistema venoso superficial
Los procedimientos destinados a eliminar los pequeños vasos sanguíneos en los miembros inferiores no son fáciles y la obtención de resultados satisfactorios para los pacientes puede ser difícil. En tal situación, son esenciales un proceso de diagnóstico adecuado, la localización del problema y la selección de un método de tratamiento apropiado.
En el caso de pacientes que esperan la eliminación de pequeños vasos sanguíneos, es necesario realizar una entrevista exhaustiva y obtener información relativa a la incidencia de problemas vasculares en la familia, el estilo de vida del paciente, los antecedentes de enfermedades y los posibles síntomas y dolencias que puedan indicar la presencia de insuficiencia venosa crónica. Otro paso es el examen ecográfico Doppler (US) con el uso de transductores de matriz lineal de banda ancha con la frecuencia de 5-12 MHz. El examen Doppler desempeña un papel vital en el establecimiento de un diagnóstico correcto y la planificación del tratamiento posterior. Según Weiss, la ecografía Doppler es tan esencial como el uso de un estetoscopio en un examen físico rutinario(6). Este examen permite evaluar la permeabilidad y suficiencia de las venas safena mayor y menor, así como localizar las venas e insuficiencias perforantes. Si el examen revela insuficiencia de las venas safena mayor y menor, primero debe tratarse esta y solo entonces podrán eliminarse los vasos pequeños. El cierre de telangiectasias y venas reticulares con insuficiencia concomitante de las venas principales del sistema superficial es inútil porque el procedimiento puede resultar completamente ineficaz.
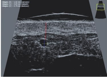
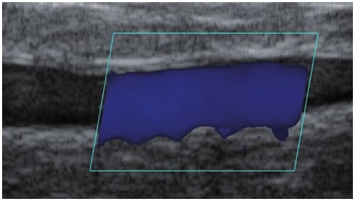
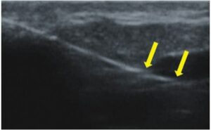
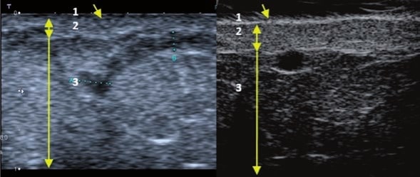
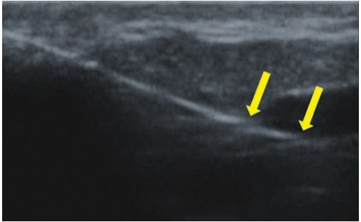
La ecografía Doppler permite obtener imágenes de grandes vasos y perforantes que suelen estar situados en las capas más profundas del tejido subcutáneo (fig. 1). Desgraciadamente, la ecografía convencional no es capaz de obtener imágenes de vasos más pequeños. Para visualizar los vasos más pequeños situados cerca de la superficie de la epidermis y en la capa superior del tejido subcutáneo, se utiliza el HFU (fig. 1). Gracias al uso de transductores con frecuencias superiores a 20 MHz, se obtiene una imagen ecográfica de alta resolución en la que podemos diferenciar estructuras menores de 0,1 mm. Sin embargo, cuanto mayor es la resolución, menor es la penetración del haz de ultrasonidos en las capas de la piel. Por lo tanto, dependiendo del transductor y del aparato, es posible penetrar en la piel hasta una profundidad de 20-30 mm como máximo. Tal penetración, junto con la alta resolución de la imagen, permite la evaluación incluso de vasos sanguíneos muy pequeños (fig. 2). Durante el examen con el uso de transductores de alta frecuencia, se puede evaluar con precisión el curso y la ubicación de los pequeños vasos en la piel. Esto es particularmente relevante para la selección del método de cierre del vaso y la planificación del procedimiento ya que, en la práctica, la superficie de la piel muestra muy a menudo únicamente un pequeño número de vasos o un ligero fragmento de un vaso; solo tras el examen por ecografía podemos determinar su número y curso reales. Para un cierre eficaz del vaso, es necesario hacerlo en toda su longitud. No debe limitarse al fragmento visto «a simple vista» en la superficie de la piel, ya que el cierre del fragmento causará su rápida recanalización(7). Con frecuencia, el vaso visible en la superficie de la piel cambia su curso, se vuelve más tortuoso y se desplaza a las capas más profundas de la piel(8). Por lo tanto, el curso de la vena y las perforantes deben conocerse y determinarse bien antes del procedimiento. El HFU también permite obtener imágenes de las perforantes entre pequeños vasos. Además, aparte de la evaluación del curso y la anatomía, la imagen ecográfica, gracias al software de ultrasonidos, también permite determinar los parámetros básicos como el diámetro del vaso, el grosor de su pared, la profundidad en la piel así como la presencia o ausencia de perfusión en el interior del vaso(6) (fig. 3). Gracias al transductor electrónico multielemento con la frecuencia de 40 MHz introducido en el mercado por Ultrasonix, también es posible visualizar la perfusión en los vasos en el modo Doppler color (fig. 4).
Tratamientos de eliminación de pequeños vasos sanguíneos
Actualmente, los pequeños vasos sanguíneos se cierran mediante microescleroterapia, tratamientos con láser de superficie así como procedimientos microendovasculares(7).
Terapia láser
Los tratamientos con láser consistentes en un cierre transcutáneo de los vasos son cada vez más populares. La esencia de estos tratamientos consiste en enviar un haz de luz sobre el vaso, que es absorbido por la hemoglobina contenida en los eritrocitos y transformada en energía térmica. Esto provoca el calentamiento de la pared del vaso y su coagulación. Mientras que en las telangiectasias leves el efecto se obtiene de forma inmediata, en las venas reticulares el cierre se produce varias semanas después del procedimiento(9). La eficacia de la terapia depende de la selección adecuada de los parámetros del tratamiento. La determinación de la ubicación de los vasos en las capas de la piel y sus diámetros tienen gran importancia. Estos dos parámetros pueden especificarse con precisión en el HFU. En función de los hallazgos de la ecografía, se selecciona el tipo de láser, lo que conlleva la selección de la longitud de onda, la anchura del pulso, el diámetro del spotsize y la energía del pulso(7). En la terapia láser, el HFU también es útil como método para monitorizar la corrección del tratamiento y su eficacia. Durante el procedimiento, la ecografía puede ayudar a garantizar que la energía del láser llega al vaso; su diámetro debería disminuir de inmediato (fig. 5). Cuando no se detecta tal efecto, deben verificarse los parámetros del tratamiento. Además, debe comprobarse si el cabezal del láser se aplica adecuadamente a la piel. El HFU también se utiliza para evaluar la eficacia de los procedimientos realizados. Los parámetros útiles en dicha evaluación son: presencia o falta de perfusión en el vaso, presencia o ausencia de un trombo en la luz del vaso, diámetro del vaso y grosor de su pared.
Escleroterapia
La escleroterapia es una técnica de cierre de vasos como resultado de inyectarles un esclerosante químico. En la actualidad, se aplica habitualmente y se caracteriza, sobre todo, por sus bajos costes y por el hecho de que es relativamente fácil de realizar. La escleroterapia está indicada principalmente para el cierre de venas reticulares mayores de 3 mm, pero también puede aplicarse si los vasos son más pequeños(10). En el caso de vasos menores de 3 mm, es más difícil introducir una aguja en su luz, lo que aumenta el riesgo de complicaciones(7). En tal situación, el HFU resulta de gran ayuda. Permite visualizar con precisión el curso del vaso y, posteriormente, facilita la realización del procedimiento con guía ecográfica (fig. 6). Así, gracias a la ultrasonografía, se ha eliminado el riesgo de administrar el esclerosante fuera de la luz del vaso, lo que conlleva necrosis. La imagen por ultrasonidos de alta frecuencia también puede utilizarse para monitorizar la eficacia del procedimiento.
Procedimiento microendovascular
El procedimiento microendovascular es una técnica endovenosa que se utilizó principalmente para el tratamiento de la insuficiencia de grandes venas del sistema superficial y que se ha adaptado para venas más pequeñas. Actualmente se utiliza en el cierre de venas reticulares y telangiectasias. El procedimiento consiste en insertar una fibra óptica láser estéril e inducir la coagulación de los vasos como resultado de la energía láser(7,11). Requiere la guía por ultrasonidos de alta frecuencia. Gracias a la imagen ecográfica, es posible evaluar el curso y la anatomía del vaso, la inserción precisa de la fibra óptica en los vasos (fig. 7), la coagulación del vaso y la eficacia del procedimiento.
Conclusión
Este trabajo ha presentado el tema relacionado con la aplicación del HFU en la obtención de imágenes y el cierre de pequeños vasos venosos, es decir, telangiectasias y venas reticulares. La introducción de transductores de alta frecuencia de más de 20 MHz permitió visualizar los vasos situados en la dermis y el tejido subcutáneo, lo que no es factible con el uso de sondas convencionales u otros métodos. La ecografía como método de imagen de vasos pequeños cumple las expectativas de cirujanos y flebólogos que, hasta ahora, se veían privados de la posibilidad de evaluar los vasos sanguíneos pequeños. Los diafanoscopios (transiluminadores) tenían limitaciones ya que solo permitían evaluar el curso de los vasos poco profundos(12) sin la posibilidad de especificar su ubicación exacta o su diámetro. Sin embargo, la posibilidad de evaluar el curso de los vasos, medir sus diámetros y especificar su ubicación en la piel contribuye a la selección de un método terapéutico. De este modo, estos factores aumentan la eficacia del procedimiento seleccionado y reducen el riesgo de complicaciones. En el caso de los tratamientos con láser, las imágenes ecográficas facilitan la selección del láser para un procedimiento y permiten determinar los parámetros del tratamiento(7). La ecografía también es útil como método de control de los procedimientos que pretenden la eliminación de los vasos. Sin la imagen ecográfica, la realización de ciertos procedimientos no sería factible, por ejemplo, los procedimientos microendovasculares sin guía ecográfica o la microescleroterapia sin imagen ecográfica de los vasos pequeños. Este último procedimiento realizado sin guía ecográfica conlleva un gran riesgo de complicaciones en forma de necrosis causada por la administración del esclerosante más allá de la luz del vaso.
Como se ha mostrado anteriormente, la ultrasonografía de alta frecuencia es un método útil en la obtención de imágenes de pequeños vasos sanguíneos. Debido al coste relativamente bajo del examen o del equipo de alta frecuencia en comparación con otros métodos, como la tomografía computarizada o la resonancia magnética, así como por su carácter no invasivo, movilidad, técnica de escaneo relativamente fácil y posibilidad de repetir los exámenes de forma segura para los pacientes, el HFU tiene la oportunidad de convertirse en un examen de rutina más utilizado.
Conflicto de intereses
Los autores no informan de vínculos financieros o personales con otras personas u organizaciones que pudieran afectar negativamente al contenido de esta publicación y/o reclamar derechos de autoría de la misma.
Referencias
- Munavalli GS, Weiss RA: Objawy chorób żył. In: Alam M, Nguyen TH (eds.): Leczenie chorób żył kończyn dolnych. Elsevier Urban & Partner, Wrocław 2009: 11–25.
- Rohrer TE, Geronemus RG, Berlin AL: Zmiany naczyniowe. In: Gold-berg DJ (ed.): Lasery i światło. Vol. 1, Elsevier Urban & Partner, Wro-cław 2009: 1–16.
- Somjen GM: Anatomy of the superficial venous system. Dermatol Surg 1995; 21: 35–45.
- Weiss AR, Weiss MA: Painful telangiectasias: diagnosis and treatment. In: Bergan JJ, Goldman MP (eds.): Varicose Veins and Telangiectasias: Diagnosis and Treatment. Quality Medical Publishing, Inc., St. Louis 1993: 389–406.
- McCoppin HH, Hovenic WW, Wheeland RG: Laser treatment of super-ficial leg veins: a review. Dermatol Surg 2011; 37: 729–741.
- Weiss RA: Badanie pacjenta: wywiad i badanie przedmiotowe. In: Alam M, Nguyen TH (eds.): Leczenie chorób żył kończyn dolnych. Else-vier Urban & Partner, Wrocław 2009: 27–41.
- Mlosek R: Przydatność badań ultrasonograficznych w zamykaniu drob-nych naczyń krwionośnych. In: Mlosek R: Obrazowanie skóry i tkanki podskórnej za pomocą ultrasonografii klasycznej oraz ultrasonografii wysokich częstotliwości i jego przydatność w kosmetologii i medycynie estetycznej. Oficyna Wydawnicza Warszawskiego Uniwersytetu Medycz-nego, Warszawa 2012: 133–154.
- Hsu J, Bhatia A, Weiss R: Naczynia żylne kończyn dolnych. In: Gold-berg DJ (ed.): Lasery i światło. Vol. 1, Elsevier Urban & Partner, Wro-cław 2009.
- Bogle M, Sadick N: Zabiegi laserowe. In: Alam M, Nguyen TH (eds.): Leczenie chorób żył kończyn dolnych. Elsevier Urban & Partner, Wro-cław 2006: 101–118.
- Duffy DM: Skleroterapia. In: Alam M, Nguyen TH (eds.): Leczenie chorób żył kończyn dolnych. Elsevier Urban & Partner, Wrocław 2006: 67–99.
- Sznelewski P, Rybak W: Światłoterapia wysokoenergetyczna we fle- In: Rybak Z (ed.): Flebologia – co nowego? Cornetis, Wrocław 2012: 191–197.
- Pszenny C: Problemy naczyniowe kończyn dolnych. In: Mamcarz B, Prandecka D (eds.) Medycyna estetyczna w praktyce. Vol. 1, Medical Education Sp. z o.o., Warszawa 2010: 133–142.
Robert Krzysztof Mlosek1, Sylwia Malinowska2
- Department of Medical Imaging, Second Faculty of Medicine, Medical University of Warsaw, Warsaw, Poland
- Life-Beauty private partnership, Grodzisk Mazowiecki, Poland Correspondence: Department of Medical Imaging, Second Faculty of Medicine, Medical University of Warsaw, Kondratowicza 8, 03-242 Warsaw, Poland,
e–mail: zdo@usgptu.waw.pl, tel. +48 22 326 58 10


