Determinación del sexo fetal en vacas durante la gestación
La determinación del sexo fetal en las vacas durante la gestación es un componente importante de la gestión moderna del rebaño, particularmente en los sistemas de producción de leche o carne. Conocer el sexo de la descendencia en una etapa temprana de la gestación permite a los ganaderos tomar decisiones más informadas sobre la selección, la planificación de la reposición del rebaño y la estrategia reproductiva general. En la práctica veterinaria, la ecografía es el método más utilizado, ya que permite una evaluación no invasiva de las estructuras anatómicas del feto en desarrollo, de forma segura tanto para la madre como para el embrión.
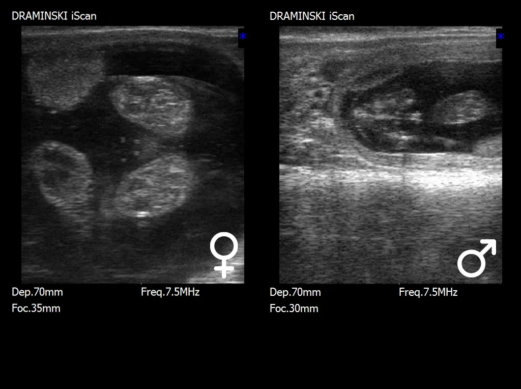
El periodo óptimo para la determinación del sexo fetal es entre los días 55 y 70 de gestación.
En esta etapa, la estructura diagnóstica clave es el tubérculo genital (tuberculum genitale), que sufre un desplazamiento característico dependiendo del sexo del feto. En los fetos machos, el tubérculo genital se desplaza hacia el ombligo y el futuro pene, mientras que en los fetos hembras, se localiza más cerca de la cola, en la región de la futura vulva. La interpretación correcta de la posición del tubérculo requiere no solo imágenes ecográficas de alta calidad, sino también la experiencia adecuada, ya que pequeñas variaciones en el posicionamiento fetal pueden influir en la evaluación.
En las etapas posteriores de la gestación, después de aproximadamente los días 70–80, se hace posible la identificación de órganos genitales externos más desarrollados, como el escroto en los fetos machos o las estructuras vulvares en los fetos hembras. Aunque las características sexuales son más evidentes en esta etapa, el examen se vuelve más difícil debido al tamaño creciente del feto, su posición más profunda dentro de la cavidad uterina y la maniobrabilidad limitada de la sonda de ultrasonido.
La determinación del sexo fetal durante la gestación puede tener importantes implicaciones genéticas y económicas.
Permite planificar la estructura futura del rebaño, realizar una selección genética más eficiente y optimizar las estrategias reproductivas, incluido el uso de semen sexado o las decisiones relativas a la venta de animales. Desde la perspectiva veterinaria, este procedimiento requiere un dispositivo de ecografía preciso, habilidad manual y una sólida comprensión de la interpretación de imágenes ecográficas.


