A través de los ojos de un veterinario: NOVILLAS
Las novillas son animales en crecimiento de entre 6 meses y 18-24 meses de edad, hasta su primer parto. Al igual que las terneras, son el futuro de cada explotación, pero a menudo, tras el destete, se las trata como algo secundario, cuando este grupo, en su fase de crecimiento intensivo, merece la misma atención. ¿Somos conscientes de que las novillas son el potencial para el desarrollo de la granja y, por tanto, para la mejora de su economía? ¿Sabemos que toda la inversión realizada en la cría de una ternera y su potencial genético puede desperdiciarse si no se cría adecuadamente como novilla?
¿A qué presta atención un veterinario como yo durante una auditoría en una granja en el contexto de la cría de novillas?
1) Condiciones de vida
Una vez que las terneras terminan la fase de alimentación láctea, suelen colocarse en corrales grupales y se olvidan de ellas hasta el momento de la cubrición. La imagen de novillas en espacios reducidos y mal ventilados, sin acceso al exterior, es lamentablemente común en las granjas polacas.
¿Por qué son malas estas condiciones?
Las novillas, debido a la alta densidad, están constantemente expuestas al estrés, lo que puede provocar una disminución de la inmunidad, alteración de las funciones corporales y una mayor susceptibilidad a las enfermedades. Además, la falta de luz solar tiene un efecto muy negativo en su ciclo reproductivo, lo que se traduce en una falta de celo en animales que deberían comenzar sus periodos reproductivos alrededor de los 13 meses de edad. En mis controles reproductivos, a menudo encuentro novillas que sufren disfunciones ováricas que han tardado mucho tiempo en curarse.
Entonces, ¿cómo debemos criar a las novillas?
Muchos criadores se aseguran de que este grupo de producción tenga acceso a corrales exteriores, aunque sean de tierra. Se separan en corrales en función de la edad o del estado de gestación. También suelo encontrar establos para novillas construidos especialmente y diseñados solo para este grupo de animales.

2) Alimentación
Dejo el tema de la alimentación de las novillas, la selección del pienso y el equilibrio de las raciones en manos de asesores nutricionales cualificados que saben cómo hacerlo para que la novilla crezca hacia arriba y no hacia los lados. Cuestiones como: la misma ración para todos los grupos de novillas, alimentar con sobras de las vacas lecheras o dar piensos de menor calidad, afectan al desarrollo y a la salud de nuestras futuras vacas. ¡Recuerde que las ubres de nuestras novillas aún se están desarrollando!
Para mí, como veterinario, es fundamental prestar atención a si tenemos novillas con sobrepeso en el rebaño.
Una novilla con sobrepeso no significa más que problemas, y punto. ¿Por qué?
1. Es difícil inseminarla porque el exceso de grasa puede causar trastornos del celo.
2. El exceso de grasa alrededor de los cuartos traseros puede causar dificultades en el parto.
3. Aumenta el riesgo de enfermedades posparto, como la cetosis, la retención de placenta y el desplazamiento de abomaso.
3) Prevención
Las novillas son un grupo de riesgo especialmente alto. Debido al estrés relacionado con su alojamiento, los frecuentes cambios de grupo, las raciones de comida y el hecho de que, en los últimos años, ha aumentado la importación de novillas a Polonia, son especialmente vulnerables y sensibles a las infecciones.
Una forma de proteger a nuestras novillas es aplicar un programa de vacunación bien diseñado.
Los calendarios de vacunación dependen en gran medida del estado del rebaño y de las vacunas utilizadas, pero, por lo general, las novillas se vacunan contra enfermedades como la BVD, la IBR y la fiebre Q. Dependiendo de la situación de la granja, también deben introducirse, si es necesario, vacunas contra la clamidia, agentes causantes de diarrea en terneros, neumonía y bacterias anaerobias.
Sin embargo, ocurre que los criadores a menudo se olvidan de vacunar a sus novillas. ¿A qué se debe?
Las vacunas que administramos a las novillas suelen aplicarse a las vacas durante su periodo seco y, como sabemos, las novillas no tienen este periodo. Por lo tanto, al organizar el trabajo en la granja y planificar la prevención, a menudo se olvida la vacunación de las novillas. Podemos evitar este problema haciendo un seguimiento del calendario de partos. Las tareas en el rebaño deben organizarse de tal manera que, dependiendo del programa, podamos realizar la última vacunación unas 2 semanas antes del parto. Esto es importante porque en ese momento tendremos inmunoglobulinas de total calidad en el calostro.

4) ¿Mastitis en novillas?
La mastitis también puede producirse antes del primer parto.
Una de las causas es la succión mutua entre terneras en corrales grupales. El reflejo de succión puede satisfacerse de varias formas, como el uso de tetinas de flujo lento, la colocación de tetinas de goma (¡desinfectadas y limpias!) en los corrales, o el suministro de agua con tetina, etc.
El problema de la succión mutua entre terneras es importante. Por un lado, queremos que las terneras se críen en grupos por su bienestar, pero por otro lado, algunas de ellas se succionan entre sí, provocando inflamación en las ubres aún en desarrollo, lo que puede descalificar a una novilla para seguir criando. El resultado de dicha observación puede manifestarse como una inflamación de las novillas antes del parto, o mastitis en la primípara inmediatamente después del parto.
Otro factor importante que contribuye a la mastitis en novillas y primíparas es alimentarlas con leche de vacas no clasificadas. Esta es la acción menos económica que conozco, porque aunque parezca que estamos ahorrando en leche, en realidad estamos perjudicando al animal y, en consecuencia, a nosotros mismos. Se ha demostrado que los restos de antibióticos pueden afectar negativamente a la flora intestinal de las terneras, y los patógenos de la leche pueden pasar a través de los órganos linfáticos a, por ejemplo, la ubre. Tales terneras, más tarde como vacas, presentan mastitis crónica y resistencia a los antibióticos, lo que hace que su tratamiento sea imposible o requiera mucho tiempo, ¡y ciertamente sea caro!
5) Reproducción de las novillas
Para mí, el único enfoque correcto es supervisar la reproducción de las novillas con el mismo cuidado que la reproducción de las vacas.
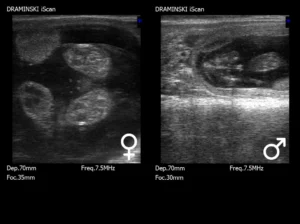
En mi trabajo reproductivo diario con novillas, me baso principalmente en programas hormonales adaptados al rebaño específico. Una vez que la novilla alcanza el peso y el tamaño adecuados, realizamos el primer examen ecográfico e introducimos al animal en el programa. En cuanto a la inseminación artificial, existen varios métodos de cría eficaces. A menudo, confiamos en la observación del celo, pero el éxito de este método depende del factor humano, que desgraciadamente suele fallar.
Tras la inseminación, el primer control de gestación se realiza entre los días 26 y 30, y se vuelve a confirmar en el tercer mes.

En algunas granjas, las novillas se inseminan de forma natural, pero incluso en estos casos se puede hacer correctamente. El toro que camina entre las novillas debe ser separado del grupo durante 26 días. Después, comprobamos la gestación de las novillas de ese grupo y separamos a las gestantes en un grupo aparte. Las novillas no gestantes se tratan hormonalmente y se vuelven a introducir con el toro.
No debemos descuidar la reproducción de las novillas porque es clave para la reposición del rebaño, especialmente cuando se utiliza mayoritariamente semen sexado para la inseminación.
El semen sexado es también un método eficaz para prevenir el freemartinismo entre nuestras novillas. El freemartinismo se refiere a la infertilidad en una novilla nacida de una gestación gemelar mixta. Una novilla freemartin tiene los órganos reproductores poco desarrollados o ausentes por completo, mientras que el gemelo macho suele ser fértil. Hay casos en los que nace una novilla freemartin como cría única tras morir su hermano gemelo en la fase fetal. Independientemente del origen de dicho animal, perdemos una novilla incapaz de reproducirse. Me encuentro con este fenómeno regularmente en mi práctica, y lo considero un problema de cría, especialmente común en las granjas familiares más pequeñas.
En conclusión, como veterinario, creo que no podemos descuidar a las novillas. Tanto en lo que respecta a sus condiciones de vida, nutrición, prevención y reproducción. Las novillas deben ser tratadas con el mismo cuidado que las terneras y las vacas, y en la práctica, es mucho más sencillo y, sobre todo, más barato.

DVM, Michał Barczykowski

